Medical Imaging Cloud
We are pleased to announce our affiliation with Ambra Health (formally known as DICOM Grid) a leader in medical image management, with robust archiving, viewing and sharing.
The Ambra Cloud PACS platform enables your clinic to have the next level of diagnostic imaging capabilities, by allowing on-site physicians & veterinarians to safely store, view and share their patient’s medical imaging records for a second opinion. Ambra’s Cloud PACS offers a number of features which are typicality hard to find in traditional PACS solutions.
COMPATIBILITY:
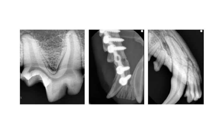
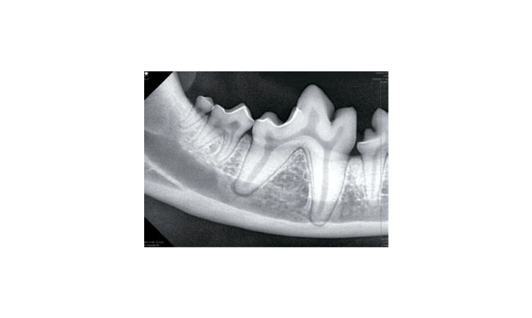
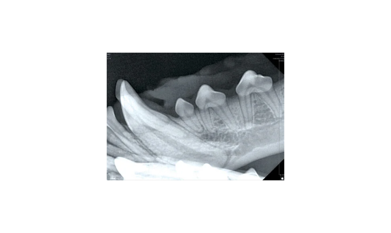
Ambra’s Cloud PACS is compatible with all DICOM modalities. You can rest assured all your modalities from DX, CR, US, CT and MR studies are stored in the cloud the moment an exam is finished.
DIAGNOSTIC VIEWING:
The FDA cleared, HTML5 full featured DICOM viewer gives you the freedom you’ve always wanted by enabling you to do your diagnostic viewing from any web browser, anywhere, any time. No need for powerful CPUs, expensive VPN setups or limited platform programs. Ambra’s DICOM viewer can be used across platforms on your PC, Mac and tablets.
REPORTING:
Ambra’s Cloud PACS is one of the few cloud PACS systems to offer full reporting tools within the same portal to ensures medical records retention and integrity. You can easily start creating your pre-designed reports while on the go or record a voice report for faster service with quick integration to voice-to-text tools.
STUDY SHARING:
Sharing DICOM images has never been easier. With Ambra you can share X-Ray, Ultrasound, CT & MRI images securely in a few simple steps regardless of whether you are sharing with a referral center for second opinion or with your client for their own records.
AND MUCH MORE.... CONTACT US NOW TO SCHEDULE YOUR DEMO